두통이 지속되면
두통은 많은 사람들이 일상생활에서 경험하는 흔한 증상 중 하나입니다. 그러나 두통이 지속되거나 빈번하게 발생하면 일상생활에 큰 영향을 미칠 수 있습니다. 두통이 지속될 때 고려해야 할 여러 가지 원인, 진단 방법, 치료 방법, 그리고 예방 조치에 대해 자세히 알아보겠습니다.
두통의 종류
두통은 그 원인과 증상에 따라 여러 가지로 분류될 수 있습니다. 대표적인 두통의 종류는 다음과 같습니다.
긴장성 두통
긴장성 두통은 가장 흔한 형태의 두통으로, 스트레스, 피로, 잘못된 자세 등이 원인이 됩니다. 이 두통은 보통 머리 전체에 둔한 통증을 유발하며, 어깨와 목 근육의 긴장과 연관이 있습니다.
편두통
편두통은 주기적으로 발생하는 두통으로, 종종 심한 통증과 함께 구역질, 구토, 빛이나 소리에 대한 민감성을 동반합니다. 편두통은 유전적 요인과 환경적 요인 모두에 의해 유발될 수 있습니다.
군발성 두통
군발성 두통은 비교적 드물지만 매우 심각한 두통으로, 주로 한쪽 눈 주위에 심한 통증을 유발합니다. 이 두통은 일정 기간 동안 반복적으로 발생하며, 남성에게 더 흔하게 나타납니다.
만성 일차 두통
만성 일차 두통은 한 달에 15일 이상 발생하는 두통을 말합니다. 이 두통은 긴장성 두통이나 편두통과 유사한 증상을 보일 수 있으며, 만성 두통은 일상생활에 큰 지장을 줄 수 있습니다.
두통이 지속되는 원인



두통이 지속되면 여러 가지 원인이 있을 수 있습니다. 다음은 그 중 일부입니다.
스트레스
스트레스는 두통의 주요 원인 중 하나입니다. 지속적인 스트레스는 긴장성 두통을 유발할 수 있으며, 편두통을 악화시킬 수도 있습니다. 스트레스 관리를 통해 두통을 줄일 수 있습니다.
수면 부족
수면 부족은 두통을 유발하는 또 다른 주요 원인입니다. 충분한 수면을 취하지 못하면 두통이 자주 발생할 수 있으며, 특히 편두통 환자에게 영향을 미칠 수 있습니다.
식습관
불규칙한 식사, 특정 음식 섭취, 카페인이나 알코올의 과다 섭취 등은 두통을 유발할 수 있습니다. 균형 잡힌 식사와 규칙적인 식습관을 유지하는 것이 중요합니다.
탈수
탈수는 두통의 일반적인 원인 중 하나입니다. 충분한 물을 마시지 않으면 두통이 발생할 수 있으므로, 하루 동안 충분한 수분을 섭취하는 것이 필요합니다.
의학적 상태
두통이 지속되는 경우 기저 의학적 상태를 의심해볼 필요가 있습니다. 고혈압, 부비동염, 목 근육 문제 등이 두통의 원인이 될 수 있습니다. 이러한 경우에는 의료 전문가의 진단과 치료가 필요합니다.
두통의 진단 방법



두통이 지속되면 정확한 진단을 받는 것이 중요합니다. 다음은 두통 진단에 사용되는 주요 방법들입니다.
병력 조사
의사는 환자의 병력과 증상을 조사하여 두통의 유형과 원인을 파악합니다. 이 과정에서는 두통의 빈도, 강도, 위치, 지속 시간 등을 확인합니다.
신체검사
신체검사를 통해 두통의 원인을 찾을 수 있습니다. 의사는 환자의 목, 어깨, 두개골 등을 검사하여 긴장성 두통이나 다른 신체적 원인을 확인합니다.
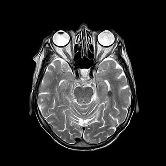
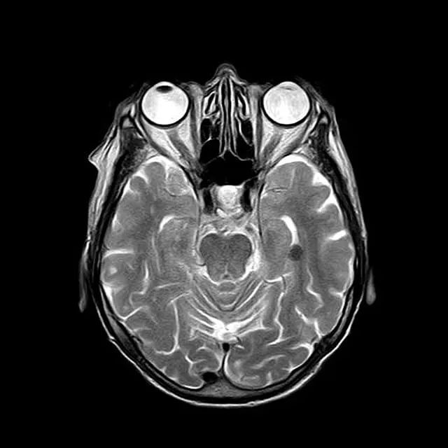
영상 검사
필요한 경우 MRI나 CT 스캔과 같은 영상 검사를 통해 두개 내 구조적 문제를 확인할 수 있습니다. 이러한 검사는 특히 신경학적 증상이 동반될 때 중요합니다.
혈액 검사
혈액 검사를 통해 염증, 감염, 전해질 불균형 등의 문제를 확인할 수 있습니다. 이는 두통의 원인을 찾는 데 도움을 줄 수 있습니다.
두통의 치료 방법
두통의 치료 방법은 원인과 증상에 따라 다릅니다. 다음은 주요 치료 방법들입니다.
약물 치료
진통제
일반적으로 사용되는 진통제는 두통을 완화시키는 데 효과적입니다. 아세트아미노펜, 이부프로펜 등이 포함됩니다. 그러나 과도한 사용은 오히려 두통을 악화시킬 수 있습니다.
편두통 치료제
편두통 치료를 위해 트립탄 계열 약물이나 에르고타민 계열 약물이 사용됩니다. 이러한 약물은 편두통의 증상을 완화시키는 데 도움을 줍니다.
예방 약물
편두통이나 만성 두통을 예방하기 위해 베타 차단제, 항우울제, 항경련제 등이 사용될 수 있습니다. 이러한 약물은 두통의 빈도와 강도를 줄이는 데 효과적입니다.
비약물 치료
생활 습관 개선
규칙적인 수면, 균형 잡힌 식사, 충분한 수분 섭취 등 건강한 생활 습관을 유지하는 것이 중요합니다. 또한 스트레스 관리와 규칙적인 운동이 두통 예방에 도움이 됩니다.
물리치료
물리치료는 긴장성 두통이나 목 근육 문제로 인한 두통에 효과적일 수 있습니다. 마사지, 척추 교정, 근육 이완 기술 등이 포함됩니다.
심리 치료
심리 치료는 스트레스나 불안으로 인한 두통에 효과적일 수 있습니다. 인지 행동 치료(CBT)는 스트레스 관리와 두통 완화에 도움이 됩니다.
대체 요법
침술, 명상, 요가 등 대체 요법도 두통 완화에 도움을 줄 수 있습니다. 이러한 방법들은 특히 만성 두통 환자에게 효과적일 수 있습니다.
두통 예방 방법



두통을 예방하기 위해 다음과 같은 조치를 취할 수 있습니다.
규칙적인 생활 습관 유지
규칙적인 생활 습관을 유지하는 것이 두통 예방에 중요합니다. 일정한 시간에 자고 일어나며, 균형 잡힌 식사를 하고, 충분한 수분을 섭취하는 것이 필요합니다.
스트레스 관리
스트레스 관리는 두통 예방에 중요한 요소입니다. 명상, 요가, 심호흡 운동 등을 통해 스트레스를 관리할 수 있습니다.
규칙적인 운동
규칙적인 운동은 두통 예방에 도움을 줄 수 있습니다. 운동은 혈액 순환을 촉진하고, 스트레스를 줄이며, 전반적인 건강을 개선합니다.
특정 음식 피하기
특정 음식이 두통을 유발할 수 있으므로, 이를 피하는 것이 중요합니다. 특히 카페인, 초콜릿, 치즈, 와인 등이 두통을 유발할 수 있습니다.
적절한 수면
적절한 수면은 두통 예방에 필수적입니다. 충분한 수면을 취하고, 규칙적인 수면 패턴을 유지하는 것이 필요합니다.
결론
두통이 지속되면 그 원인을 찾고 적절한 치료를 받는 것이 중요합니다. 스트레스, 수면 부족, 식습관 등 다양한 요인이 두통을 유발할 수 있으며, 이를 개선하는 것이 두통 예방에 도움이 됩니다. 또한, 정기적인 건강 검진을 통해 두통의 기저 원인을 파악하고, 필요한 치료를 받는 것이 필요합니다. 두통이 지속될 때는 의료 전문가의 도움을 받아 정확한 진단과 치료를 받는 것이 중요합니다.












댓글